Trotz der aktuellen Corona Situation haben wir weiterhin für Sie geöffnet. Alle Termine finden wie geplant statt. Wir bitten Patienten aus Risikogebieten von einem Besuch abzusehen.
Am Vögenteich 25 - 18055 Rostock
0381 - 37 555 333 - Diese E-Mail-Adresse ist vor Spambots geschützt! Zur Anzeige muss JavaScript eingeschaltet sein!

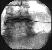
Bei der IDET handelt es sich um ein risikoarmes und schonendes Verfahren, um den verschleißbedingt strapazierten Bandscheiben-Faserring zu festigen.
Hierbei wird über eine spezielle bildwandlergestützte Punktionstechnik eine eigens dafür entwickelte Sonde in den Bandscheibenraum platziert und über ca. 20 Minuten Wärme appliziert.
Sie dient nur zur Behandlung von Rückenschmerzen ohne Ausstrahlung in die Beine, nicht für Bandscheibenvorfälle mit Reizung oder Kompression von Nerven, Gefühlsstörungen und Lähmungen. Nur kleine, unter dem Längsband liegende Bandscheibenvorfälle und Vorwölbungen der Bandscheibe werden damit behandelt, die Rückenschmerzen verursachen.
Vor dieser Behandlung muss zweifelsfrei festgestellt werden, in welchem Grad die Bandscheibe verschlissen ist. Weine Anhaltspunkt dafür gibt die Kernspintomografie (MRT) oder geschieht in der Regel durch Diskografie bei welcher sich ein typischer memory pain auslösen lässt.